Willkommen AnsprechpartnerBehandlungsspektrum KnieKniegelenkerkrankungenKonservative TherapieOperative TherapiePrävention/RehabilitationPartnerAnfahrt

 

Arthrose des Kniegelenks (Gonarthrose)

Die Verschleißerkrankung oder Arthrose des Kniegelenks wird auch Gonarthrose genannt. Die Arthrose kann alle Abschnitte des Gelenks (Pangonarthrose) aber auch nur Teilabschnitte betreffen. Ist allein das Kniescheibengelenk (Femoropatellargelenk) betroffen spricht man von einer Femoropatellararthrose. Weiterhin kann sich der Gelenkverschleiß auf den inneren (mediales Kompartment) oder äußeren (laterales Kompartment) Gelenkabschnitt beschränken.

Es kann zwischen einer primären und einer sekundären Form der Gonarthrose unterschieden werden. Bei der primären Gonarthrose ist die Ursache der Erkrankung nicht bekannt. Eine sekundäre Gonarthrose kann die Folge einer anlagebedingten Fehlform des Kniegelenks (Dysplasie), einer Verletzung des Kniegelenks und deren Folgezuständen, einer bedeutsamen Achsenfehlstellung (X-Bein-Stellung oder O-Bein-Stellung) sowie einer verstärkten Abnutzung beispielsweise durch Übergewicht sein. Weitere Ursachen können beispielsweise die rheumatoide Arthritis und weitere entzündliche Gelenkerkrankungen sowie eine bakterielle Gelenkinfektion sein.

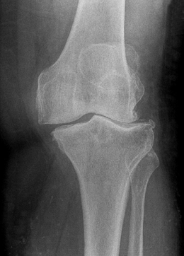
Ein typisches klinisches Zeichen einer Gonarthrose ist die schmerzhafte Bewegungseinschränkung des Kniegelenks. Die Schmerzen können in Ruhe und auch nachts sowie bei Bewegung des Kniegelenks, beim Gehen und Treppensteigen auftreten. Häufig tritt auch ein Reiben (Krepitation) oder Knarren bei Bewegung des Kniegelenks auf. Im Röntgenbild zeigen sich der Verlust des Gelenkknorpels, eine Entrundung der Gelenkflächen sowie Knochenanbauten (sogenannte Osteophyten) am Oberschenkel- und Unterschenkelknochen. Bei einigen Patienten tritt eine zunehmende Fehlstellung der Beinachse (X-Bein-Stellung oder O-Bein-Stellung) auf.

Die Behandlung der Gonarthrose kann mit verschiedenen konservativen und operativen Behandlungsmethoden erfolgen. In den letzten Jahrzehnten konnten große Fortschritte in der operativen Behandlung der Gonarthrose durch die Entwicklung moderner Endoprothesensysteme und gewebeschonender Operationstechniken erreicht werden.

Auf der Grundlage einer ambulanten ärztlichen Untersuchung und Diagnostik kann ein geeignetes konservatives bzw. operatives Behandlungsverfahren festgestellt und empfohlen werden.

Zurück zur Gelenkauswahl

 

 

 

 

 

 
Gonarthrose
 
künstliches Kniegelenk
 
  [Copyright] [Haftungsausschluss] [Impressum]